민락 치과 골흡수로 인한 상악동 함기화 거상술을 동반한 임플란트 식립 과정

안녕하세요.
민락 치과 류근수입니다.
해당 포스팅은 객관적인 정보를
제공하는 목적으로 작성 되었으며
광고 혹은 홍보 포스팅이 아님을
거듭 안내드립니다.

오늘은 임플란트 수술에 있어
많이 언급되는 내용을 설명하려 합니다.
그건 바로 상악동 거상술로써
어느 상황에서 필요한지
그리고 어떤 과정으로 이뤄지는지
이번 글을 통해 알아보도록 하겠습니다.
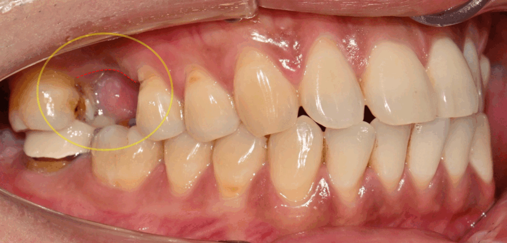
1. 충치의 의한 Cavitation

먼저 민락 치과 에서
사진에 표시한 곳을 보겠습니다.
[Cavitation]
즉 충치로 인해 치아 구조 자체에
‘공동’이 생긴 것을 뜻합니다.
처음 법랑질에서 머물던 병소가
점점 내부 구조로 파고드는 과정에서
치아 구조가 손상된 겁니다.
보통 충치치료를 진행할 때에는
치아의 손상 정도와 병소의 범위 등
많은 부분을 따지고 결정하게 됩니다.

경우에 따라 보철 치료로 해결되지만
치수에 영향을 미친 경우에는
신경치료가 병행될 수 있고,

때로는 구조 자체에 손상이 크거나
개선 가능성이 없는 경우엔
발치를 고려하는 상황도 있습니다.
다만 자연치는 한번 잃게 되면
회복할 수 없는 조직이기 때문에
무조건적인 발치를 권하는 것이 아닌
보존 가능성 조금이라도 있다면
이를 염두에 두고 살리는 것이 중요합니다.
해당 치아 구조의 손상은 크지만,
적절한 치료만 진행된다면
충분히 개선할 가능성이 큽니다.
다만 손상 부위가 크기 때문에
내부는 레진으로 채워 넣는 방식으로
치관을 보강하고 경과를 지켜봅니다.
2. 치아 결손

민락 치과 에서 설명해 드린
충치가 진행된 어금니 외에도
눈에 띄는 부위가 있습니다.
그 앞쪽으로 결손된 곳으로,
텅 비어 있는 모습이 확인됩니다.
인접한 잇몸 조직에 비해서
다소 움푹 패인 모습을 보여주는데
이것은 치아가 결손된 부위가
그대로 방치된 케이스들에서
공통적으로 나타나는 문제입니다.

그건 바로 ‘골흡수’로
잇몸 조직이 자극을 받지 못하면
서서히 얇고 낮은 상태로 변합니다.

그로 인해 인접치에도 흔들림이 생기거나
주변 치아들이 이동하는 경우도 있습니다.
따라서 이 부위는 그대로 방치하는 것보다
기능적인 회복을 하는 것이 좋습니다.
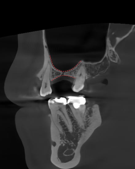
3. 골흡수와 상악동의 관계
단순 기능적인 회복을 생각하면
양옆의 치아를 지대치로 삼는
브릿지 보철이 있습니다.
다만 이 또한 치조골에는 자극을 주지 못해
골흡수의 진행을 막기 어렵습니다.

반면 임플란트는 잇몸 골조직에
직접 압력을 전달 할 수 있는 방식이므로
이를 해결할 수 있는 치료가 됩니다.
그러나 위쪽 어금니에 식립하는 경우
조심스럽게 접근해야 됩니다.

그 이유는 상악동의 존재입니다.
이에 민락 치과 에서 설명해 드리면
얼굴의 양쪽 광대 쪽에 존재하는
부비동의 일종으로써
우리가 숨을 쉬고 소리를 내는 데에
큰 역할을 하는 주요 조직입니다.

그러나 치조골의 두께가 얇아짐과 동시에
이곳이 아래쪽으로 내려오게 됩니다.
이를 상악동의 함기화라고 말하며
임플란트를 식립하는 데 있어
큰 위험 요소가 될 수 있습니다.
얇은 막으로 구성되어 있어
쉽게 찢어지고 천공으로 이어지는
부작용을 일으킬 수 있기 때문입니다.
4. 상악동 거상술
(측방 접근법)
그럼, 이러한 케이스들은
치료가 불가능한 것은 아닐까
걱정이 드셨을 것 같습니다.
민락 치과 에서 결론부터 말씀드리면
적절한 방법과 계획이 수립되면
충분히 치료가 가능합니다.

그 방법으로는 상악동 거상술이라 하여
얇아진 치조골의 상부를 들어 올린 후
그 공간에 이식재를 보강하는 방식으로
임플란트가 자리 잡을 수 있는
공간을 확보하는 것입니다.
이 방식은 치조정 접근법과
측방 접근법으로 나뉘게 되는데,
지금처럼 치조골이 흡수가 심한 경우
측방 접근법을 시행합니다.

치조골의 옆쪽,
즉 측면에 작은 창을 내고
그 부위 상악동막을 들어 올립니다.
그리고 생긴 공간에 이식재를 채워
안정적인 식립 환경을 갖추기 위해
회복 기간을 갖게 됩니다.
측면에서 진행되는 과정이다 보니
많은 양의 뼈 재료를 채워 넣기 적합하지만,
절개 부위가 다소 큰 편에 속하고
술자의 따라 예후가 달라지기 때문에
고난이도의 시술이라 할 수 있습니다.
다만, 이 과정에서 잔존골을 평가하여
픽스처 식립이 가능하다고 판단되면,
상악동 거상술을 통한 골이식과 동시에
임플란트를 식립하는 경우도 있습니다.
5. 술 후 관리의 필요성

사진을 보면 상악동 거상술이
잘 마무리된 것이 확인됩니다.
충분한 공간이 확보되어
상악동에는 큰 영향이 없이
픽스처가 자리 잡고 있습니다.

이렇게 식립된 픽스처는 골유착을 위해
철저한 관리가 필요합니다.
수술 후 세균에 의해 감염이나
또는 염증이 생기는 경우에는
천공과 같은 합병증으로 이어지고
골유착이 이뤄지지 않을 수 있습니다.
이는 임플란트의 실패가 되어
재치료의 원인이 될 수 있으니
의료진이 안내해 드린 주의 사항은
꼭 지켜주시길 바랍니다.
오늘 민락 치과 에서 설명해 드린
예시 케이스는 여기까지이며,
추후 경과를 보여드릴 기회가 되면
이어서 설명드리겠습니다.
감사합니다.
