당뇨 환자 임플란트
치주 질환과 당뇨병은 깊은
상호 관계를 가지고 있습니다.
치주 질환이 있을 경우
건강한 사람에 비해
당뇨병에 이환될 확률이
2배 높아지게 됩니다.
반대로 혈당이 높은 환자는
치은염 / 치주염으로 이어질 확률이
3배가량 올라게되죠,
실제 치주 질환은 6번째 합병증이라
불릴 정도로 대표적인 증상으로
손 꼽힙니다.
『당뇨와 임플란트』
혈당 조절이 잘 되는 경우
치과에서 임플란트 식립을
진행할 수 있습니다.
혈당이 너무 높으면
내과에서 적절한 치료를
진행할 필요가 있습니다.
혈류를 감소시켜
면역 세포의 기능이
약화되기 때문에
세균에 감염되기 쉬운 상태가 되는데
임플란트를 심을 때,
균에 대한 저항성이 떨어지면
실패로 이어질 수 있습니다.
당뇨와 치주질환, 임플란트에 대한 의학정보를
사진과 함께 설명드리겠습니다.

2024.06.12
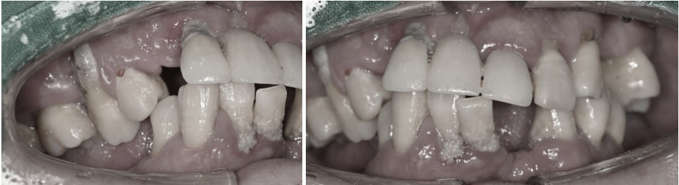
당뇨 질환과 오랜 흡연과 더불어
구강 관리 상태가 아쉽습니다.
당뇨와 흡연은
치주염의 위험을 높이는
원인이기 때문에
임플란트를 안정적으로
마무리하기 위해선
둘 다 조절하는 과정이
필수랍니다.

2024.06.12
앞서 말씀드렸던 관리 영역으로,
다량의 치태와 치석이
여러 군데 침착되어 있습니다.
양치나 치실 등
구강 관리가 미비한 것으로 보입니다.

2024.06.12
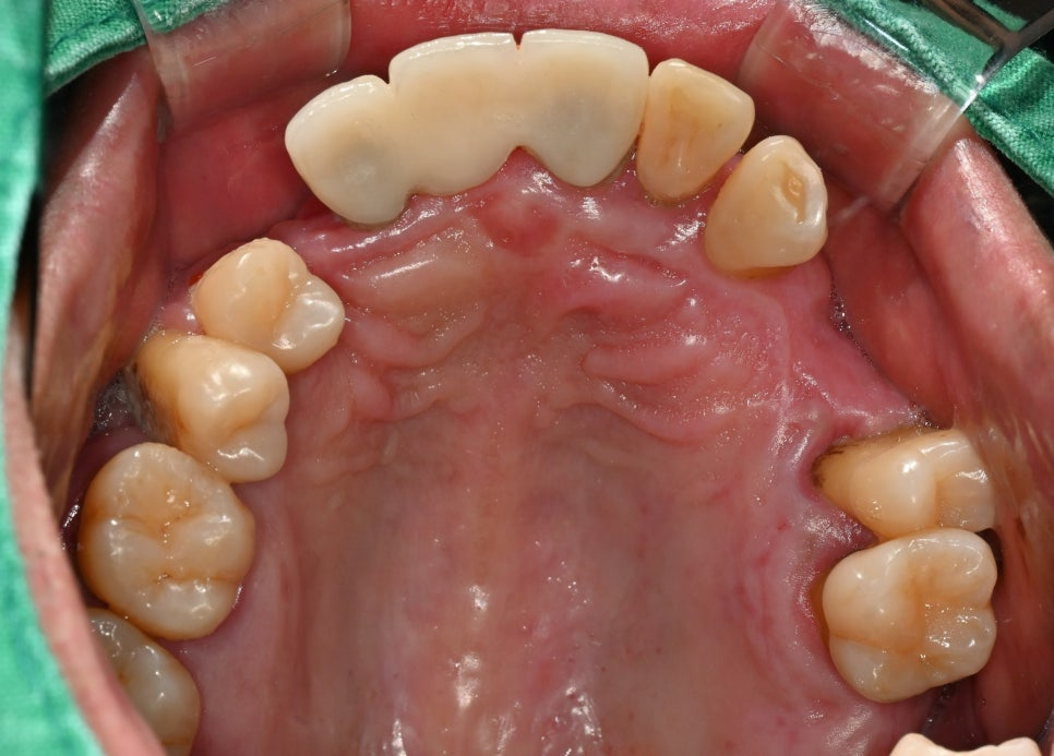
뿌리까지 퍼진 염증은
치조골 즉 뼈에도 영향을 주었습니다.
점차 골이 흡수되었고
그 양이 늘어나면서
여러 개의 치아가
흔들리는 결과를
가지고 왔습니다.
잇몸에서는 피가 나고
눌렀을 때 농까지 나오고
있었습니다.

2024.06.12
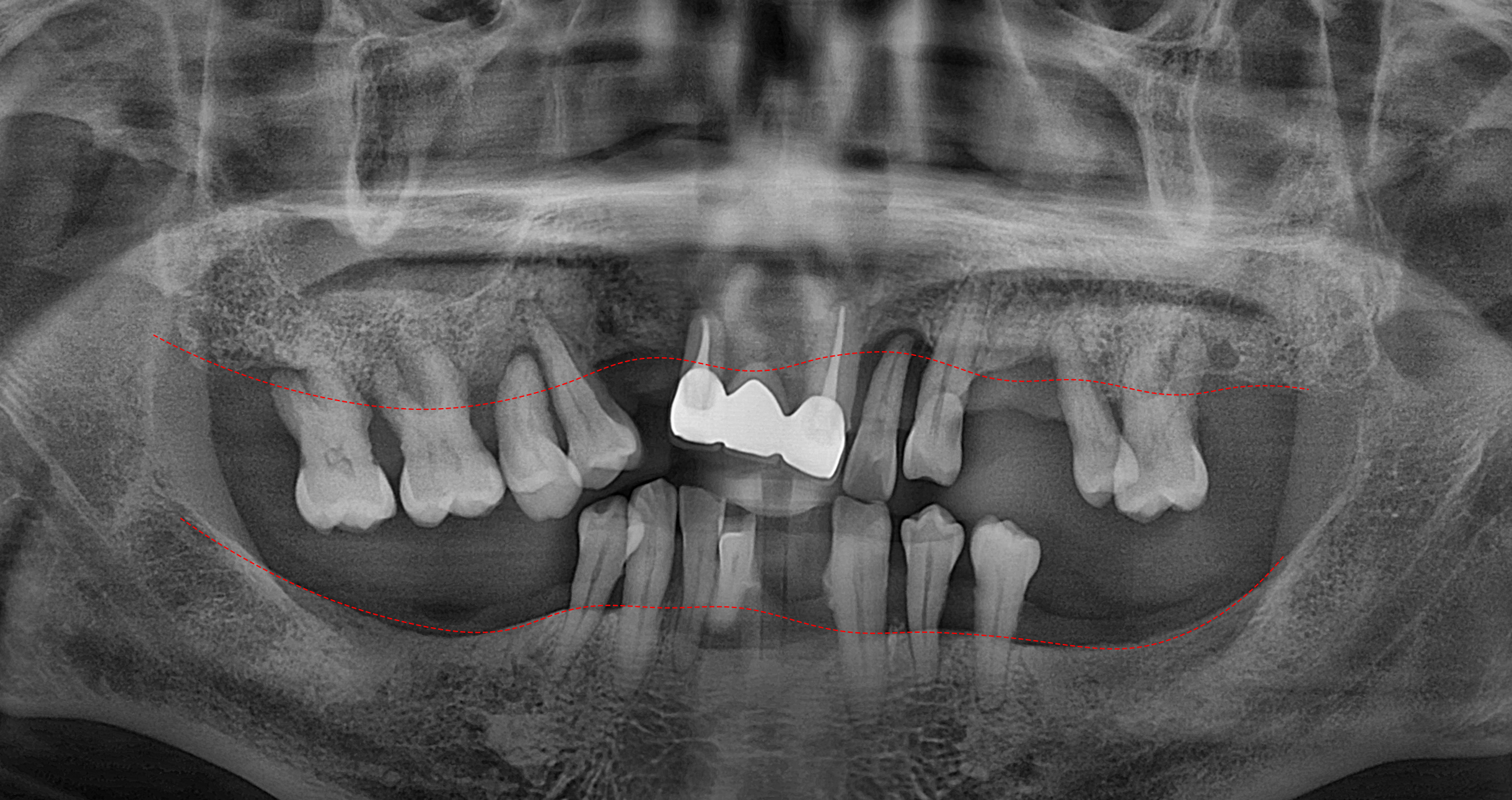
염증이 파급된 정도가 심하며
이로 인하여 잔존 치조골의 양이
매우 부족한 상태였습니다.
이를 꽉 잡아주고 지지하기 위해선
뼈의 양이 중요한데요,
지금 현재는 거의 다 소실되어
동요가 심각했습니다.
『임플란트로 이어집니다』
어금니가 상실된지 오랜 시간이 지나면
저작 능력이 취약해져
영양 섭취의 균형이
틀어지게 됩니다.
그래서 빠른 시일 내
치아를 회복하여
교합 기능을 회복하는
과정이 필요했는데요,
전체 수술 후 원데이 보철을 올려
간단한 음식을 드실 수 있는 환경을
빠르게 재건해 볼 수 있습니다.
윗쪽에는 8개의 나사를 심고
아래쪽에는 10개의 픽스처를
식립하는 Plan 입니다.
이 과정에서 흡수된 치조골의 양이
너무 많아 골유도재생술(GBR)
즉 뼈이식을 함께 하기로 했습니다.
컴퓨터 분석 시뮬레이션을 바탕으로
식립이 알맞게 진행되었습니다.

2024.09.20
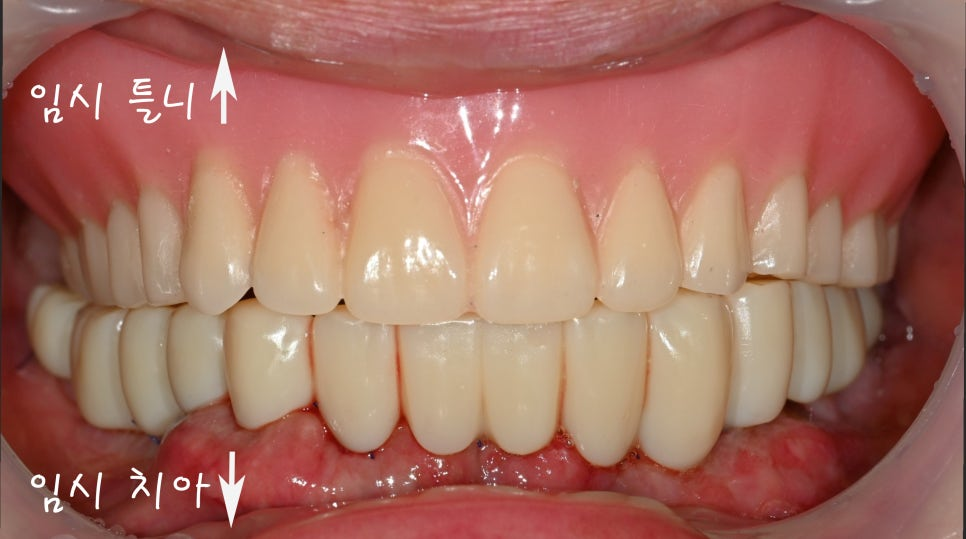
상악은 기성 어버트먼트를
장착하였으며
하악은 임시 치아를
제작하여 체결했습니다.
이렇게 위아래 다른 이유는,

2024.09.20
윗쪽는 전체 틀니를 사용해도
불편감이 크지 않은 반면
그에 반하여 아래는
의치가 오히려 더 힘들 수 있어
임시 보철을 체결한 것 입니다.
상악은 골 흡수가 많아
안정적으로 유착되려먼
하중을 부여하지 않는 것이
더욱 유리합니다.
그러므로 틀니가 더욱 적합했죠.
반대로 하악은 즉시 하중을
부하하더라도
치유 과정에 영향이 없어
임시로 치아를 올릴 수 있었습니다.

2024.09.20
보시면 잇몸 쪽으로 실밥이
튀어나와있습니다.
술 후 바로 체결하였기 때문입니다.
『골 유착 이후』
골 유착이 확인되어
충분히 고정되었습니다.
윗쪽은 틀니를 제거하고
보철을 사용하며 미리
적응하는 시간을 가졌습니다.

2024.12.11
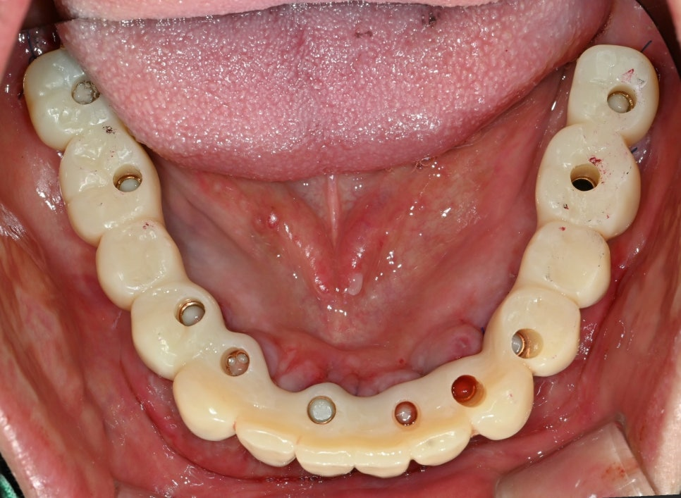
이후 최종 보철이 장착된
사진입니다.
당일 기공 작업을 끝내
즉시 하중을 부하했습니다.
그렇기에 전체 임플란트
기간을 단축시킬 수 있었죠.

2024.12.11
수술을 앞둔
당뇨가 있으신 분에게
오늘 전달드린 의학정보가
유익하셨길 바랍니다.
감사합니다.

2024년 6월 12일~2024년 12월 11일


