민락 치과 수평 매복 사랑니로 인한 치주염, 수면 마취(의식하진정법)를 이용한 복합적인 치료도 편안하게

안녕하세요.
민락 치과
류근수 원장입니다.
먼저 글을 시작하기 전
한 가지 안내를 드리겠습니다.
본 글은 객관적인 내용을 통해
정보 전달 목적으로 작성했으며,
광고 또는 홍보 글이 아님을 말씀드립니다.
사랑니는 많은 분께서 흔히 겪으며,
대부분이 안 좋은 경험을 하게 됩니다.

그 이유는 올곧게 자라는 것이 드물고
매복 또는 수평인 형태가 많기 때문입니다.
모든 경우가 뽑아야 되는 것은 아니지만,
비정상적으로 맹출 한 치아의 경우
충치, 치주 질환, 염증, 통증 등
다양한 문제를 초래할 수 있는 만큼
조기 진단을 받아 본 다음
발치 여부를 확인해야 됩니다.
그럼, 이해를 돕기 위해서
예시 사례를 하나 보겠습니다.
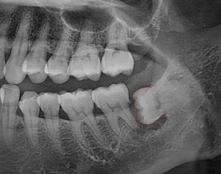
1. 수평 매복 사랑니에 의한 치주염과 골소실

민락 치과 에서 표시한 부위를 보면
치아가 잇몸 안쪽으로 매복되어 있습니다.
이처럼 머리가 앞쪽 어금니를 향해
누운 상태의 ‘수평 매복 사랑니’는
단순히 자리를 차지하고 있는 것이 아니라
주변 치아와 잇몸 건강에 영향을 미치는
잠재적 위험 요소가 됩니다.

특히 어금니 사이에는
좁고 깊은 공간이 형성되면서
음식 찌꺼기가 쉽게 끼는 반면에
칫솔질로 청소하기 어렵고
거울로는 정확하게 확인할 수 없어
위생 관리의 사각지대가 될 수 있습니다.
치아 곳곳에는 치석이 붙어 있고
치은 연하에도 치석이 부착된 것으로 봐서
치주염을 짐작해 볼 수 있는 환경이며,

실제로 CT 사진에서도
검게 보이는 영역이 관찰됩니다.
이는 방사선이 많이 통과되었다는 뜻으로
염증 반응 및 골소실을 의미합니다.

민락 치과 에서 확인한
제일 큰 문제는 염증의 범위입니다.
앞쪽 어금니에 확산된 모습으로,
원심 뿌리의 골소실이 큽니다.
이런 경우 큰 동요도는 물론이고
잇몸 치료로는 개선이 되지 않습니다.
무조건적으로 보존을 했을 때
염증은 계속해서 다시 형성될 수 있고
추가 골소실이 동반될 수 있습니다.
따라서 문제의 근원이 되는
사랑니와 함께 발치를 한 다음,
기능 회복을 할 방법을 고려해야 됩니다.
2. 발치 즉시 임플란트 식립
임플란트는 자연치와 유사한
기능성, 심미성을 동시에 회복하기 때문에
많은 분께서 선호하는 방법입니다.
하지만 과정이 단계별로 나뉘어
전체 기간이 길다는 단점이 있습니다.
아무래도 바쁜 현대인들에게는
이 점이 부담스럽게 느껴질 수 있습니다.

이를 해결할 수 있는 진료 방식이
‘발치 즉시 식립’이 될 수 있습니다.
민락 치과 에서 설명해 보자면
말 그대로 치아를 뽑은 그 자리에서
곧바로 픽스처를 심는 방식으로,
별도의 회복 기간을 두지 않고
다음 진료 단계로 넘어갈 수 있어
전체 기간을 단축할 수 있습니다.
동시에 발치 이후 흔히 나타나는
치조골의 흡수도 방지할 수 있는 점에서
많은 장점이 있는 술식이죠.
*모든 케이스에서 가능한 것은 아니니
정밀 진단 및 상담을 받아야 됩니다.
3. 의식하진정법(수면마취)를 이용한 임플란트 식립

다만, 잇몸치료를 병행해야 되며,
사랑니와 어금니를 발치 그리고
동시에 임플란트를 식립하기 때문에
진료 과정이 길어질 수 있고,
환자 입장에서는 심리적 부담이나
두려움이 커질 수 있습니다.
이럴 땐 의식하진정법
흔히 수면 마취라 불리는 방법으로
편안하게 치료받을 수 있습니다.
이 방법은 스스로 호흡하고
간단한 지시는 반응할 수 있는 정도의
가수면의 마취된 환경을 유지하지만,
‘선행성 기억상실’이라 하여
치료 후 기억은 제대로 남지 않습니다.
즉, 정신을 차리면 치료는 끝나 있으며
긴장감과 두려움은 남지 않기 때문에
큰 부담 없이 받을 수 있습니다.
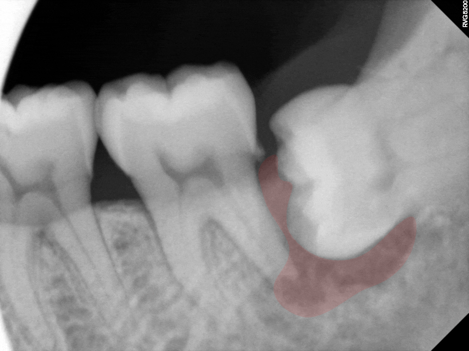
4. 식립 후 주의해야 되는 점

먼저 육아 조직을 깔끔하게 제거한 다음
의식하진정법(수면 마취)를 이용한
발치 후 즉시 식립을 진행합니다.

민락 치과 에서 보여드리는
술후 엑스레이를 확인해 보면
잇몸 치료를 병행했기 때문에
전반적으로 치석도 제거되었으며,
임플란트 역시 잘 식립되어 있습니다.
이처럼 많은 진료 과정이 동반되거나
긴 진료 기간이 예측되는 경우에는
의식하진정법을 고려해 볼 수 있습니다.
다만, 진료를 모두 마친 후에도
마취액이 신체에는 남아있을 수 있어
보호자와 함께 귀가하는 것이 좋고,
특히 운전은 피해주시기를 바랍니다.
더불어 치주염의 이력이 있는 분들은
임플란트 주위염의 유병률이 높기 때문에,
철저한 청결관리와 함께
꾸준하게 검진을 받아주는 것이
좋은 예후를 남길 수 있다는 점
마지막으로 강조 드리면서 마치겠습니다.
지금까지 민락 치과 였습니다.
감사합니다.

