의식하 진정법을 병행한 사랑니 발치 (치과공포증)

제3대구치는
다양한 이름을
가지고 있습니다.
지혜를 깨우칠 시기에
자라난다 하여 [지치]
이성에 대한 호기심이
많을 때 맹출 한다 하여 [사랑니]
이렇게 부르곤 하는데요,
아주 오래 전,
원시 시대로부터
현대 시대까지
식습관이 변화하면서
사용성이 줄어들어
턱뼈가 작게 발달되었고
이에 따라 사랑니가
결손되어 있는 케이스가
늘어나게 되었습니다.
또한 치배가 형성되어
맹출 한다 하더라도
예방적인 발치를
권장하고 있는데요,
그 주된 이유는
위치에 있습니다.
제일 후방에 올라오는
제3대구치는 칫솔모가
닿기 어렵습니다.
또한 곧게 올라오지 못하고
쉽게 변위되기 때문에
앞에 있는 어금니와 맞닿아
좁은 틈을 형성하는데요,
이 사이로 음식 찌꺼기가 끼고
치태 같은 이물이 침착되어
충치로 쉽게 이어집니다.
단순히 지치에만 한정되면
이를 뽑아 손쉽게 해소할 수 있지만
앞에 있는 어금니에 영향을 주면
치료 과정이 복잡해집니다.
『사랑니통증』
제3대구치의 문제점은
통증이 있기 전에는
발견되지 않는 경우가 많습니다.
최후방에 있어
관찰이 어렵기 때문이죠.
깊은 곳까지 질환이
진행될 때까지 모르다가
발현된 통증으로 인하여
불편을 호소하다 알게 되는
경우가 태반이랍니다.
사진 한 장을 보여드리겠습니다.

2024.11.20
Panorama에서
상하좌우 모두 사랑니가
맹출 된 모습을 볼 수 있습니다.
잇몸 위로 일부만
올라온 곳도 있었는데요,
대부분 누워있지 않고
곧게 올라와 있어
발치를 하는데
큰 문제가 없어 보였습니다.
이를 뽑는 과정에서
장애물이 될 것은 없었으나,
충치에 이환되어 예후가
불량한 치아를 확인했습니다.

2024.11.20
두 개의 치아가 맞닿아 있는
인접면에서 충치가 시작되어
치조골까지 진행되었습니다.
예후가 매우 불량하였으며
그 앞에 있는 어금니는
보존이 어렵다는 진단입니다.
신경치료를 당장 하더라도
성공률이 낮았기 때문에
발치 가능성이 높았습니다.
그래서 이를 뽑은 후
임플란트를 심기로 결정했습니다.
『의식하진정법』
내과의 수면내시경과 동일한 원리로,
치과에서도 의식하진정법을 활용하여
‘가수면 상태’에서 진료를 진행하는 경우도 있습니다.
1. 치과 공포증 환자
2. 행동 조절이 어렵다 판단되는
어린이 혹은 장애인
3. 턱관절 혹은 구토반사가
다소 심한 환자
같은 사례에서
긍정적인 결과를 만들 수 있어
치료에 활용되는 사례가 많습니다.

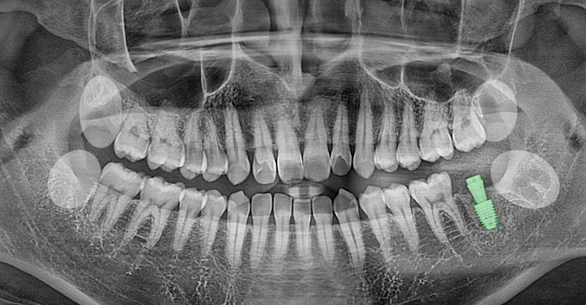
2024.11.20
4개의 사랑니와
보존이 어렵던 어금니를 발치한 후
픽스처 식립을 진행한 사진입니다.
잇몸에 염증 등 특이소견이 없었기에
당일 모든 과정을 진행할 수 있었습니다.
『마치며』
앞서 시행한 수술 과정에서
1/2차로 나누지 않고
일련의 과정을
한 번에 진행하였답니다.
지속적인 관찰을 통하여
골유착을 기다리고 있죠.
앞으로 2~3개월가량 더
꾸준히 지켜보면서
고정이 확인되면
보철이 장착되며 치료가 마무리됩니다.
『치과공포증에 대해』
이를 뽑거나
임플란트 픽스처를
심을 때는
출혈이나 통증으로
이어지기 쉽기 때문에
공포증이 없더라도
긴장을 하는 경우가 많습니다.
공포감이 심한 경우
의식하진정법을 사용할 수 있는지
궁금해하시는데요,
별다른 전신 질환이 없거나
약물에 대한 부작용이 없다
확인되는 경우,
대개 사용 가능합니다.
오늘 전해드린 의료정보가
도움이 되기를 바랍니다.
감사합니다.

치료 기간 : 2024/11/20

